Estudio del efecto de Extracto de Alcachofa en lechones durante la lactancia. Parte II
En la primera parte, vimos el Efecto del extracto de Extracto de Alcachofa (Bedgen 40) sobre la ganancia de peso. En esta segunda parte veremos que efecto produce en los diferentes parámetros fisiológicos digestivos.
Objetivo: Estudiar el efecto del extracto de alcachofa (Bedgen 40) sobre el peso del tracto gastrointestinal, peso del hígado, pH gástrico e intestinal, estructura epitelial, población microbiana, producción de AGV (ácidos grasos volátiles).
Materiales y métodos: Dos (2) animales perteneciente a cada grupo del ensayo fueron elegidos aleatoriamente y sacrificado el día 20 de vida (al momento del destete).
Medición de pH: Cuatro segmentos del tracto gastrointestinal fueron testeados mediante inserción de un electrodo ( pHchímetro Cold Palmer ®) a través de la pared del órgano. El pH fue medido en: 1) porción caudal del estómago, 2) 15 cm en próximal de la válvula ileocecal, 3) última porción del colón, 4) a 20 cm en distal del ciego.
Estudio histológico: Inmediatamente luego del sacrificio de los animales, se tomo muestras de la pared proximal y distal de yeyuno a 75 cm del estómago y a 15 cm proximal al íleon. Las muestras fueron cortadas longitudinalmente a lo largo del mesenterio atadas y fijadas por inmersión en 10% (vol/vol) de formalina tamponada y procesadas por método de rutina. Por microscopía óptica se medirá: altura de villus, el índice de mitosis, profundidad de cripta, linfocitos intraepitelial, número de villis, células globulosas en villus y en cryptas (expresado número de células globulosas/100 villus o criptas), relación villus/criptas.
Conteo de Bacterias: Una porción de intestino de 25 cm de largo, tomada a 20 cm del íleon fue colectada para conteo de Enterobacterias, Lactobacillus y establecer la relación lactobacillus/enterobacterias.
Determinación de Ac. Grasos Volátiles: Muestras cecales fueron desproteinizadas y analizadas por cromatografía gaseosa según metodología validada previamente en nuestro laboratorio.
Resultados: En la tabla 2 se presenta los pesos del tracto gastrointestinal (TGI) de los animales testigos y tratados con el prebiótico.



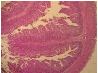
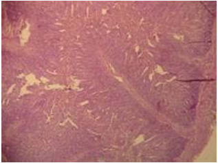
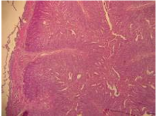
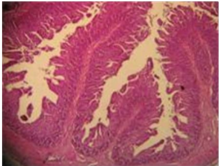
Figura 1: Microfotografía de yeyuno correspondiente a los animales testigos y tratados con el prebiótico
Foto de yeyuno pertenecientes a los testigos

Foto de yeyuno pertenecientes a los animales con prebiótico (extracto de alcachofa – Bedgen 40)

Discusión y Conclusiones preliminares:
Teniendo en cuenta los resultados obtenidos en la parte I y los anteriores mencionados:
1. La suplementación durante 9 días con extracto de alcachofa (Bedgen 40), demostró una diferencia importante y significativa de ganancia de peso (490 g) con respecto a los animales testigos. Si bien estos resultados son alentadores, para un estudio definitivo de “Perfomance Productivo” en lechones en pre destete, se debería realizar un diseño sobre un número más importante de animales (>100 por grupo).
2. El diseño experimental y la metodología analítica utilizada para el estudio de los cambios fisiológicos del TGI son apropiados y ampliamente validado por la literatura internacional.
3. El peso del TGI de los animales tratados con el prebiótico fue mayor que el testigo, lo que se correspondería con un desarrollo más precoz del mismo. Así también, el peso del hígado fue más importante en el grupo tratado. En referencia a esto último, existen en la bibliografía internacional, estudios en ratas con diferentes alimentos en que relacionan el aumento del peso de este órgano con un marcado desarrollo y diferenciación del mismo, asociado con favorables perfiles metabólicos de glucosa, lípidos, proteínas y hormonas.(Yainet Cruz Álvarez et.al 2007)
4. El pH de los diferentes lugares del TGI no mostraron diferencias, con la excepción de pH estómago. Dirkzwager et al. (2005) estableció que la administración de fibra no digerible mejora el funcionamiento del estómago en lechones.
5. El estudio bacteriológico mostró una relación de flora intestinal en favor de los Lactobacillus. Esto se corresponde con la especificidad de sustrato (inulina), para el crecimiento y desarrollo de éstas bacterias en detrimento de las enterobacterias. (Williams et al., 2001).
6. El estudio histológico no permitió determinar el cálculo de la superficie de absorción debido a que en el grupo prebiótico las válvulas de Kerkring aparecieron muy voluminosas y plegadas haciendo imposible la medición de las vellosidades. No obstante, el corte histológico evidencia cualitativamente, abundante cantidad de vellosidades.
7. La producción de AGV intestinal determinó una relación butírico/propiónico en favor del primero en el lote tratado. El ácido butírico es un ácido de crucial importancia para el metabolismo de las células epiteliales de la mucosa, aportando el 70 % del total de energía que es consumida por el intestino. Así también, este AGV incrementa la proliferación celular intestinal (Kien et al., 2007).
Potenciales Indicaciones de Bedgen 40 en lechones durante la lactancia a razón de 75g/25 Kg de alimento.
1. Coadyuva a la implantación precoz de la microbiota intestinal
2. Favorece al desarrollo morfofisiológico del tracto gastrointestinal del lechón
3. Favorece a la ganancia de peso durante la lactancia
4. Permite afrontar mejor los efectos del estrés post destete.
Bibliografía
Kontakt:
Skontaktuj się z nami za pomocą poniższego formularza.
